Solutions and Technology
 
                                Expert experimental planning and design
Our team are dedicated to arming our clients with robust pre-clinical data that confidently guides their decision-making for progressing their drugs to clinical trials.
From the initial point of contact through experimental design and to study completion, our team of world-class senior scientists will consult and guide clients to deliver outcomes that match their drug development aspirations.
 
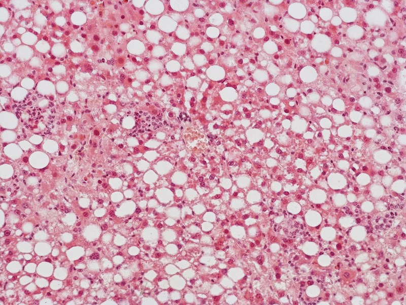
                                Human tissue precision-cut slices
Our patented state-of-art tissue bioreactor technology enables efficacy determination for antifibrotic drugs in viable 3-D human tissue slices that overcome the limitations of simple monoculture pre-clinical models.
Our technology maintains all of the key cellular elements involved in fibrogenesis within a physiologically viable, functional and architecturally intact state.
We currently offer this innovative pre-clinical solution for liver, kidney and lung.
 
                                In vivo disease model
As a leading contract research biotech, our team is proud to offer our clients an unparalleled level of expertise in in vivo disease modelling. With decades of collective experience, we are uniquely positioned to provide injury-specific models of fibrosis in the liver and kidney.
Our depth of knowledge and skill guarantees the delivery of robust and highly reproducible pre-clinical data, empowering our clients with the utmost confidence to progress their drugs to clinical studies. By partnering with us, our clients can trust that they will receive only the highest quality results, driven by a team of seasoned professionals dedicated to advancing the field of biotechnology.